Market
Watch list
Chứng khoán
Chuyển động thị trường
Doanh nghiệp A-Z
Câu chuyện đầu tư
Bất động sản
Thị trường - Doanh nghiệp
Hạ tầng - Chính sách
Không gian sống
Tài chính Ngân hàng
Doanh nghiệp
Doanh nhân
Góc nhìn
Câu chuyện kinh doanh
Thế giới
Thế giới 24h
Tài chính quốc tế
Khám phá
Thị trường
Xe
Hàng hóa - Tiêu dùng
Việc làm
Công nghệ
Vĩ mô
Đời sống
Dân sinh
Điểm đến
Góc nhìn
Dữ liệu
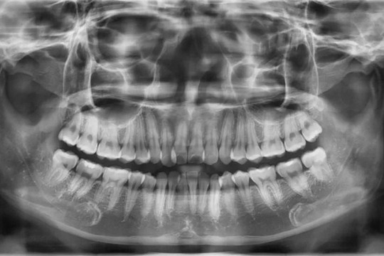
chụp X-quang
34 sinh viên khoa Răng Hàm Mặt dùng Photoshop để chỉnh sửa phim X-quang
Qua quá trình xác minh, nhà trường phát hiện các sinh viên đã sử dụng phần mềm Photoshop để chỉnh sửa hình ảnh.
10 giờ trước
|
Đời sống
Xem thêm
Đọc nhiều
1.
Tuyên án tử hình, tịch thu toàn bộ tài sản của cựu Chủ tịch công ty Điện lực
2.
Phong tỏa khẩn cấp, tịch thu 100kg vàng do một nông dân phát hiện trong núi sâu
3.
Mỹ tức tốc thu hồi tôm đông lạnh, trả lại 6.000 tấn 'hải sản bẩn' cho nền kinh tế lớn nhất Đông Nam Á
4.
Chính thức từ năm 2026: Cấm dùng tiền mặt mua vàng có giá trị 20 triệu đồng trở lên
5.
9.000 nhân viên Thế Giới Di Động giờ đây đi lắp đặt, sửa chữa trạm sạc cho tỷ phú Phạm Nhật Vượng
POWERED BY
ONE
CMS
& INTECH